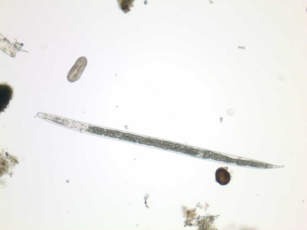
Plectus
Please note that the URL on some of the images, nemasoil.com, is no longer in use. Our new URL is canr.msu.edu/nemasoil.
Please note that the URL on some of the images, nemasoil.com, is no longer in use. Our new URL is canr.msu.edu/nemasoil.