Yuan Wang

Yuan Wang

Contact Me

Associate Professor
Department of Animal Science

Phone:
517-353-1416

Email:

Degrees:
Bachelor in Medicine, Shangdong Medical University, China
MS, Chinese Academy pf Preventive Medicine, China
PhD, Boston University, USA
Post-doc, Harvard Medical School and NIEHS

Affiliations

Reproductive and Developmental Sciences Program

Cell & Molecular Biology Program

Genetics and Genome Sciences Program

Research

My main research focus is to dissect mammalian genetic programs that govern germ cell development. I am also interested in the regulatory events that affect pluripotency and differentiation of stem cells. Empowered with iPSC (induced pluripotent stem cells) technology, in vivo mouse knockout models, and long-term in vitro culture system of spermatogonial stem cells, my laboratory aims to understand underlying pathology of human male infertility.

Laboratory: Stem Cell Biology

Teaching

ANS 410/810 - Stem Cells in Reproduction and Development

Social Media

Google Scholar

Selected Publications

Chen, W., Zhang, Z., Chang, C., Yang, Z., Wang, P., Fu, H., Wei, X., Chen, E., Tan, S., Huang, W., Sun, L., Ni, T., Yang, Y.,  and Wang Y*. (2020). A bioenergetic shift is required for spermatogonial differentiation, Cell discovery, in press.

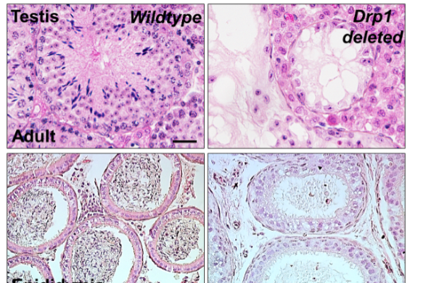
Chen, W., Sun, Y., Sun, Q., Zhang, J., Jiang, M., Chang, C., Huang, X., Wang, C., Wang, P., Zhang, Z.,Chen, X., and Wang Y*. (2020). MFN2 Plays a Distinct Role from MFN1 in Regulating Spermatogonial Differentiation. Stem cell reports. S2213-6711(20)30114-4, Epub ahead of print.

Zhao, Y., Ye, S., Liang, D., Wang, P., Fu, J., Ma, Q., Kong, R., Shi, L., Gong, X., Chen, W., Ding, W., Yang, W., Zhu, Z., Chen, H., Sun, X., Zhu, J., Li, Z., and Wang, Y*. (2018). In Vitro Modeling of Human Germ Cell Development Using Pluripotent Stem Cells. Stem cell reports 10, 509-523.

Gong, X., Chao, R., Wang, P., Huang, X., Zhang, J., Zhu, X., Zhang, Y., Yang, X., Hou, C., Ji, X., Shi, T., and Wang, Y*. (2017). Interplay of transcription factors and microRNAs during embryonic hematopoiesis. Sci China Life Sci 60, 168-177.

Wang, J., Tang, C., Wang, Q., Su, J., Ni, T., Yang, W., Wang, Y., Chen, W., Liu, X., Wang, S., Zhang, J., Song, H., Zhu, J., and Wang, Y*. (2017). NRF1 coordinates with DNA methylation to regulate spermatogenesis. FASEB J. 31(11):4959-4970.

Zhang, J., Wang, Q., Wang, M., Jiang, M., Wang, Y., Sun, Y., Wang, J., Xie, T., Tang, C., Tang, N., Song, H., Cui, D., Chao, R., Ding, S., Ni, B., Chen, X., and Wang, Y*. (2016). GASZ and mitofusin-mediated mitochondrial functions are crucial for spermatogenesis. EMBO reports 17, 220-234.

Chao, R., Gong, X., Wang, L., Wang, P., and Wang, Y*. (2015). CD71(high) population represents primitive erythroblasts derived from mouse embryonic stem cells. Stem cell research 14, 30-38.

Chu, M., Wang, L., Wang, H., Shen, T., Yang, Y., Sun, Y., Tang, N., Ni, T., Zhu, J., Mailman, R.B., and Wang, Y*. (2014). A novel role of CDX1 in embryonic epicardial development. PloS one 9, e103271.

Zhang, X., Li, B., Li, W., Ma, L., Zheng, D., Li, L., Yang, W., Chu, M., Chen, W., Mailman, R.B., Zhu, J., Fan, G., Archer, T.K., and Wang, Y*. (2014). Transcriptional repression by the BRG1-SWI/SNF complex affects the pluripotency of human embryonic stem cells. Stem cell reports 3, 460-474.

Wang, Q., Liu, X., Tang, N., Archambeault, D.R., Li, J., Song, H., Tang, C., He, B., Matzuk, M.M., and Wang, Y*. (2013). GASZ promotes germ cell derivation from embryonic stem cells. Stem cell research 11, 845-860.

Wang, Y., Yabuuchi, A., McKinney-Freeman, S., Ducharme, D.M., Ray, M.K., Chawengsaksophak, K., Archer, T.K., and Daley, G.Q. (2008). Cdx gene deficiency compromises embryonic hematopoiesis in the mouse. Proc Natl Acad Sci U S A 105, 7756-7761.

Wang, Y., Yates, F., Naveiras, O., Ernst, P., and Daley, G.Q. (2005). Embryonic stem cell-derived hematopoietic stem cells. Proc Natl Acad Sci U S A 102, 19081-19086.

Davidson, A.J., Ernst, P., Wang, Y., Dekens, M.P., Kingsley, P.D., Palis, J., Korsmeyer, S.J., Daley, G.Q., and Zon, L.I. (2003). cdx4 mutants fail to specify blood progenitors and can be rescued by multiple hox genes. Nature 425, 300-306.

Wang, Y., and Gilmore, T.D. (2001). LIM domain protein Trip6 has a conserved nuclear export signal, nuclear targeting sequences, and multiple transactivation domains. Biochim Biophys Acta 1538, 260-272.

Wang, Y., Dooher, J.E., Koedood Zhao, M., and Gilmore, T.D. (1999). Characterization of mouse Trip6: a putative intracellular signaling protein. Gene 234, 403-409.